"Seu sorriso, nossa motivação para evoluir sempre."
Experiência e acolhimento para toda a família.
Excelência em atendimento odontológico.
★★★★★
"Dedicação total ao seu sorriso e bem estar."
Com mais de 23 anos de experiência, Dra. Larissa Macarenco oferece atendimento odontológico acolhedor e profissional, focado nas necessidades de cada paciente, atendendo desde crianças até idosos.


Experiência
Compromisso
Realizamos pré-anamnese para entender suas necessidades e oferecer o melhor tratamento, garantindo um ambiente familiar e seguro para todos, especialmente para aqueles que têm medo do dentista.


Serviços Odontológicos
Atendemos crianças e adultos com cuidado e experiência em diversas áreas da odontologia.


Odontologia Restauradora (🦷🛠️ / 🦷🔧)
Dentes quebrados, cariados ou desgastados que causam dor e afetam a autoestima são reabilitados por restaurações, coroas ou procedimentos que devolvem função e estética.


Limpeza e Prevenção (🦷🧼 / 🦷✨)
Acúmulo de placa, tártaro e mau hálito que podem causar gengivite e cáries são evitados por limpezas regulares e orientações de higiene, mantendo dentes e gengivas saudáveis.


Ortodontia (🦷🔗 / 🦷🔒)
Dentes desalinhados que comprometem a mastigação e a confiança no sorriso são corrigidos por aparelhos fixos ou alinhadores, promovendo uma oclusão adequada.


Endodontia (🦷⚙️ / 🦷🔍)
Inflamações ou infecções no canal que geram dor intensa e risco de perda do dente são tratados com limpeza e vedação interna, preservando o dente.


Odontopediatria (🦷👶 / 🦷👧)
O medo do dentista e a falta de prevenção em crianças são superados com atendimento lúdico e acolhedor, incentivando hábitos saudáveis desde cedo.


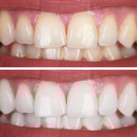
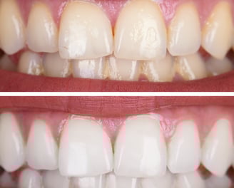
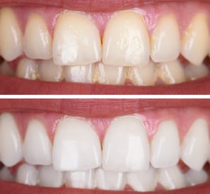
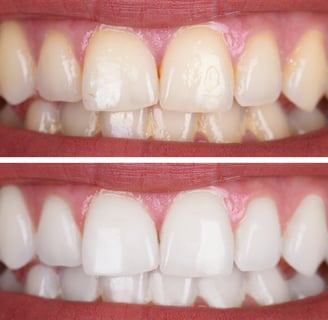
Clareamento (🦷✨ / 🦷⚪)
Manchas e escurecimento que afetam a autoestima são resolvidos com procedimentos de clareamento, resultando em dentes mais claros e um sorriso renovado.
Avaliações de Pacientes
Veja o que nossos pacientes dizem sobre nossos serviços odontológicos.


" Eu tinha um dente quebrado que me deixava insegura ao sorrir. Depois da restauração, recuperei a confiança e já não sinto mais nenhum incômodo."
Mariana Santos - Leme SP


"Sofri com uma dor intensa por causa de um canal inflamado. O tratamento foi rápido e eficiente, e consegui salvar o dente sem complicações."
Roberta Mendes - Rio Claro SP


"Minha mordida estava desalinhada e eu sentia dores de cabeça frequentes. O aparelho ortodôntico corrigiu o problema e hoje sorrio com mais tranquilidade."
Alice Silva Rodrigues - Leme SP


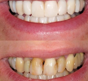
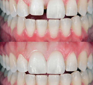
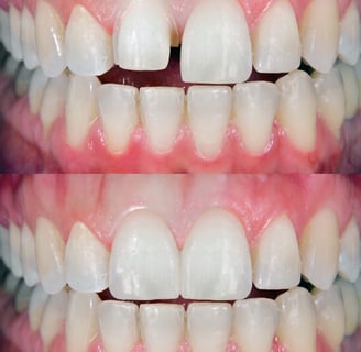
Galeria de Fotos
Explore nosso trabalho em odontologia e cuidados dentários especializados.






















Consultório Odontológico
Dra. Larissa Macarenco
CRO - 77210
"Cuidamos do seu sorriso com carinho e profissionalismo."
AGENDAMENTO E CONSULTAS
+55 19-999759261
© 2024. All rights reserved.
DÚVIDAS E SUGESTÕES
Av. da Saudade, 667 - Sala B5 / Leme - SP
Endereço


